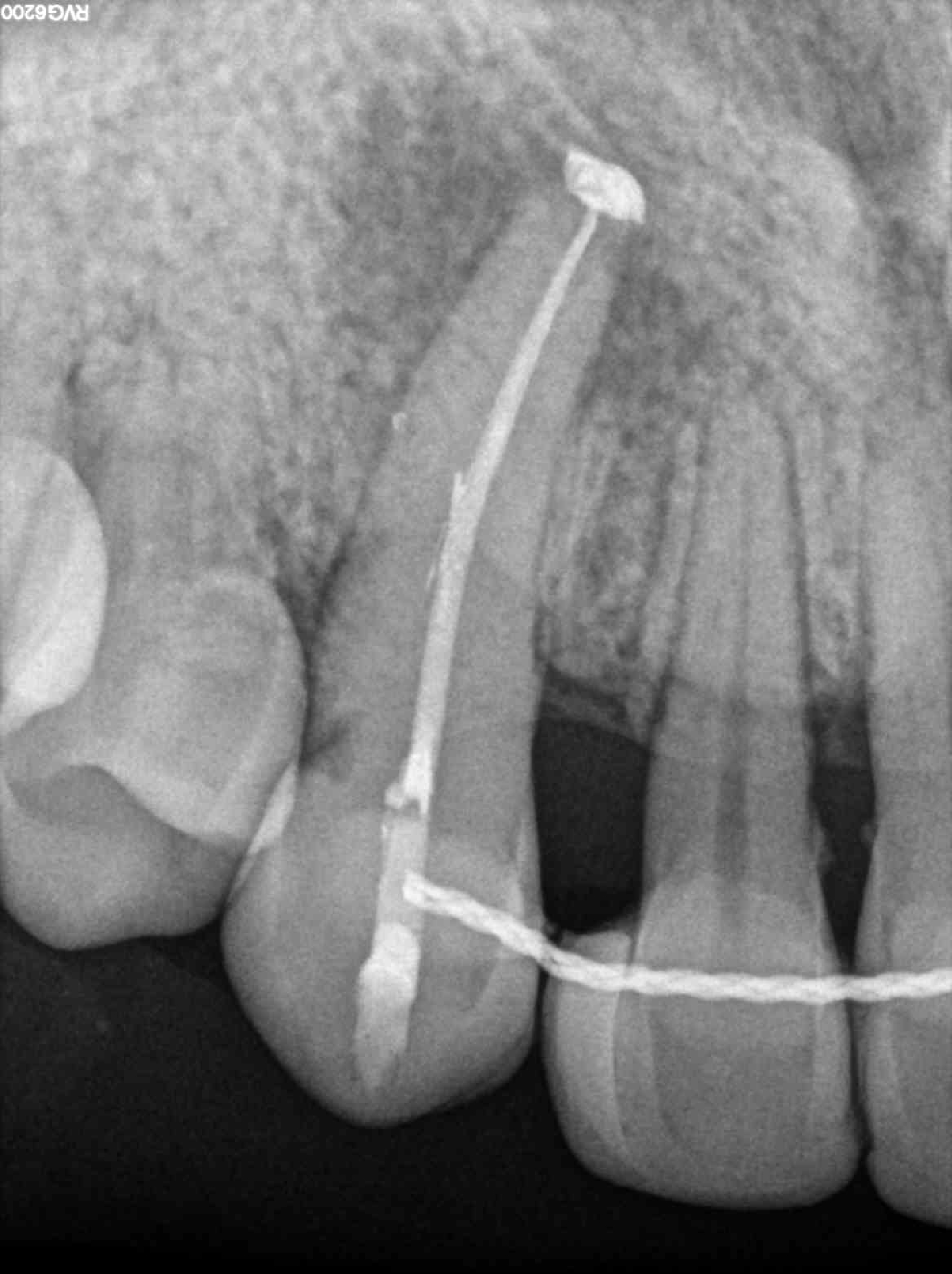
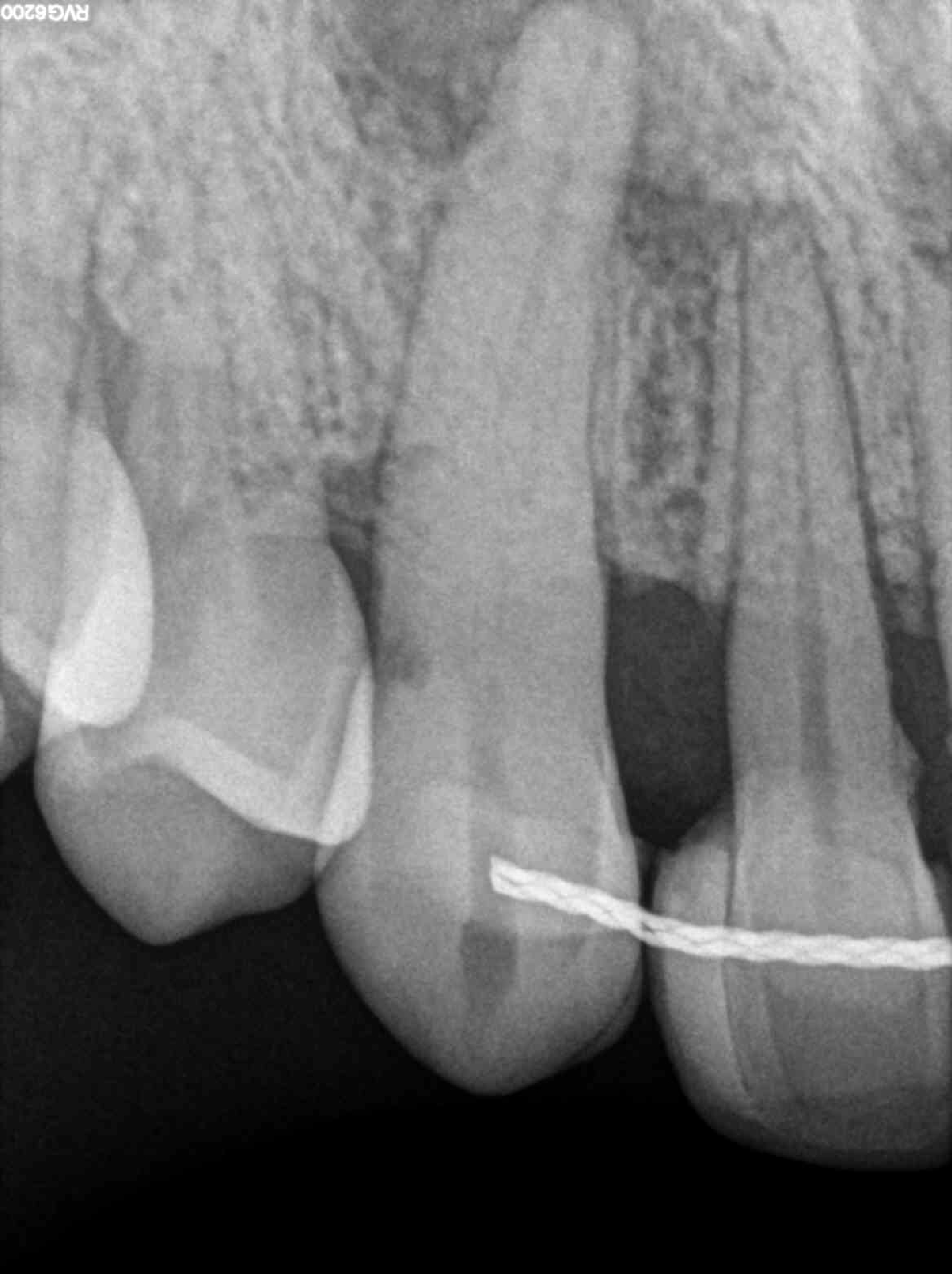
1.3 CONDUCTO CALCIFICADO

Año 2023
Categoría Endodoncia compleja

Radiografías

* Haz click sobre las radiografías para verlas a mayor tamaño

Haz click sobre las radiografías para verlas a mayor tamaño

Imágenes del tratamiento

* Haz click sobre las imágenes para verlas a mayor tamaño y a color

Haz click sobre las imágenes para verlas a mayor tamaño y a color