Odontóloga, especializada en Endodoncia y Microcirugía Apical, buscando cada día ser mejor en todo lo que hago.
Me he licenciado en 2000 y he estudiado el Master de Endodoncia de la Universidad de Valencia con el fantástico profesor Rafael Miñana Laliga, desde entonces continúo formándome y estudiando cada día para estar al tanto de las últimos avances y técnicas.
Participo cada año en numerosos cursos y congresos, alguna vez como oyente, alguna vez como lector, siempre apasionada por compartir mis ideas y conocimientos con mis compañeros.
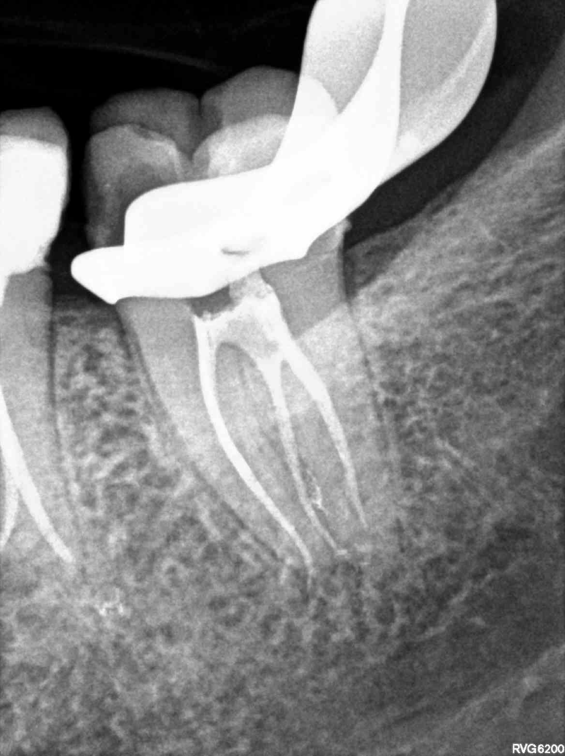
Principalmente me dedico a intentar salvar dientes a través de tratamientos endodónticos, todo tipo de intervenciones quirúrgicas relacionadas con la endodoncia: microcirugía apical, sellado quirúrgico de reabsorciones, amputaciones radiculares y últimamente autotrasplantes, reimplantes, extrusiones quirúrgicas parciales, todo esto con un enfoque mínimamente invasivo.
Soy perfeccionista y cuidadosa con los detalles, intento abordar los casos de una forma lo más conservadora posible con la estructura dental, aunque lleve más tiempo y sea más complejo desde el punto de vista técnico.
Endodoncista exclusivo, colaboro en varias clínicas dentales:
“Clínica Planelles. Centro de Endodoncia, Microcirugía y Traumatología Dental” desde 2015 – actualidad, Albacete. Práctica centrada en microcirugía apical y tratamientos endodónticos complejos.
“Clínica Pastor Friedlander” desde 2001 – actualidad, Valladolid
“Clínica Pastor Casas” dede 2001 – actualidad, Palencia
“Estudio Dental Rojo” desde 2006 – actualidad, Valladolid
Últimos trabajos de especial complejidad relacionados con tratamientos de endodoncia, traumatología dental y microcirugía apical.
Si quieres hacer una consulta puedes rellenar y enviar este formulario rápido y te contestaré lo antes posible.
PROGRAMA KIT DIGITAL FINANCIADO POR LOS FONDOS NEXT GENERATION DEL MECANISMO DE RECUPERACIÓN Y RESILIENCIA