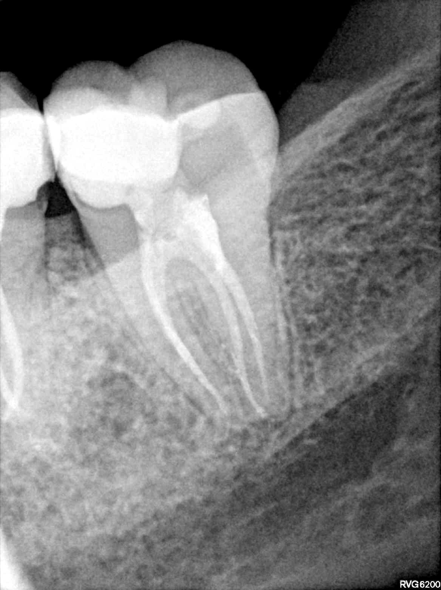
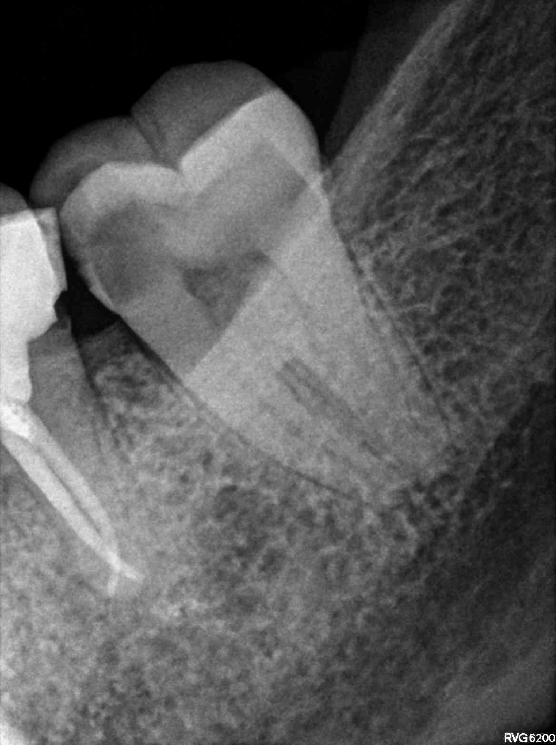
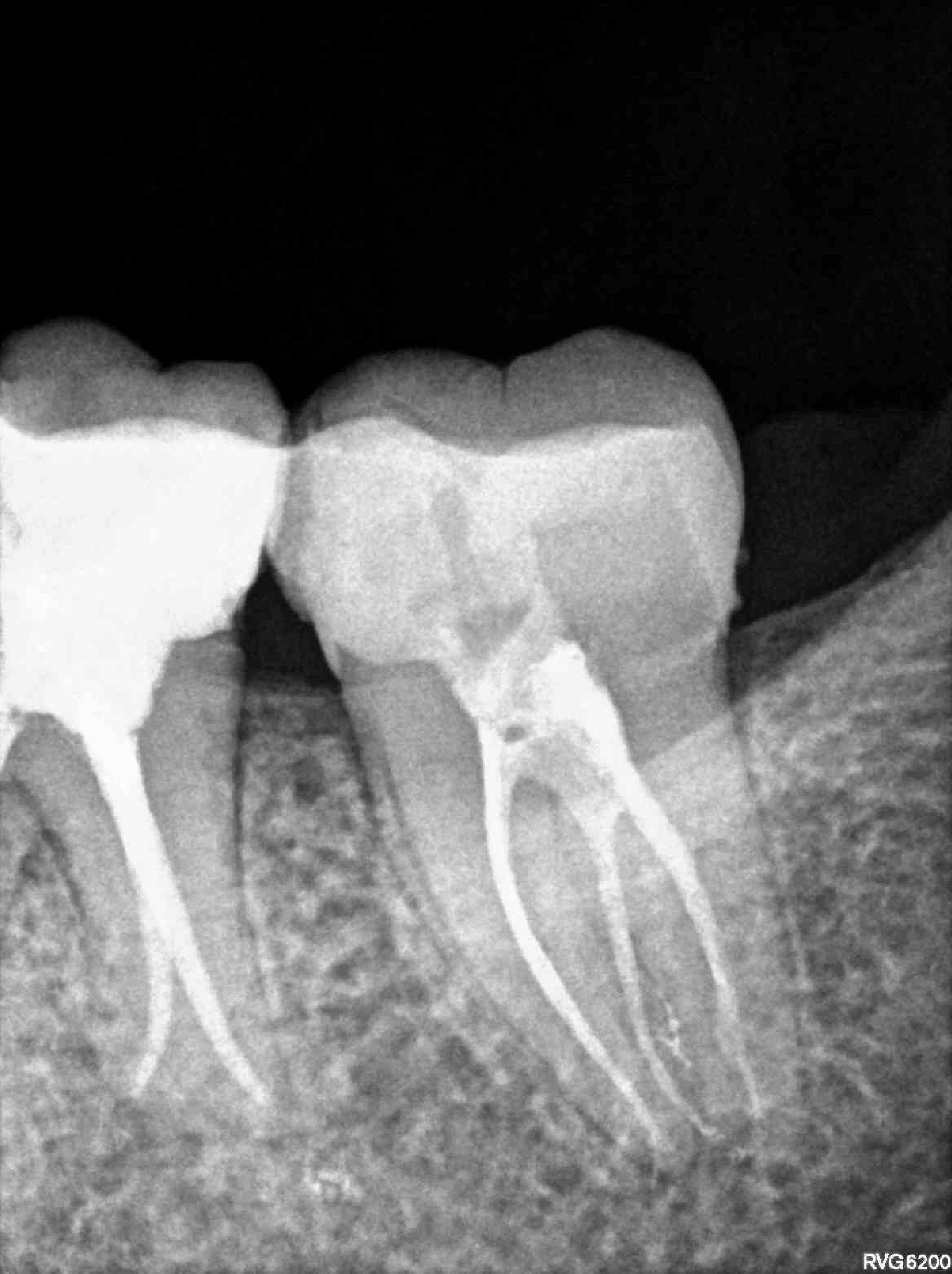
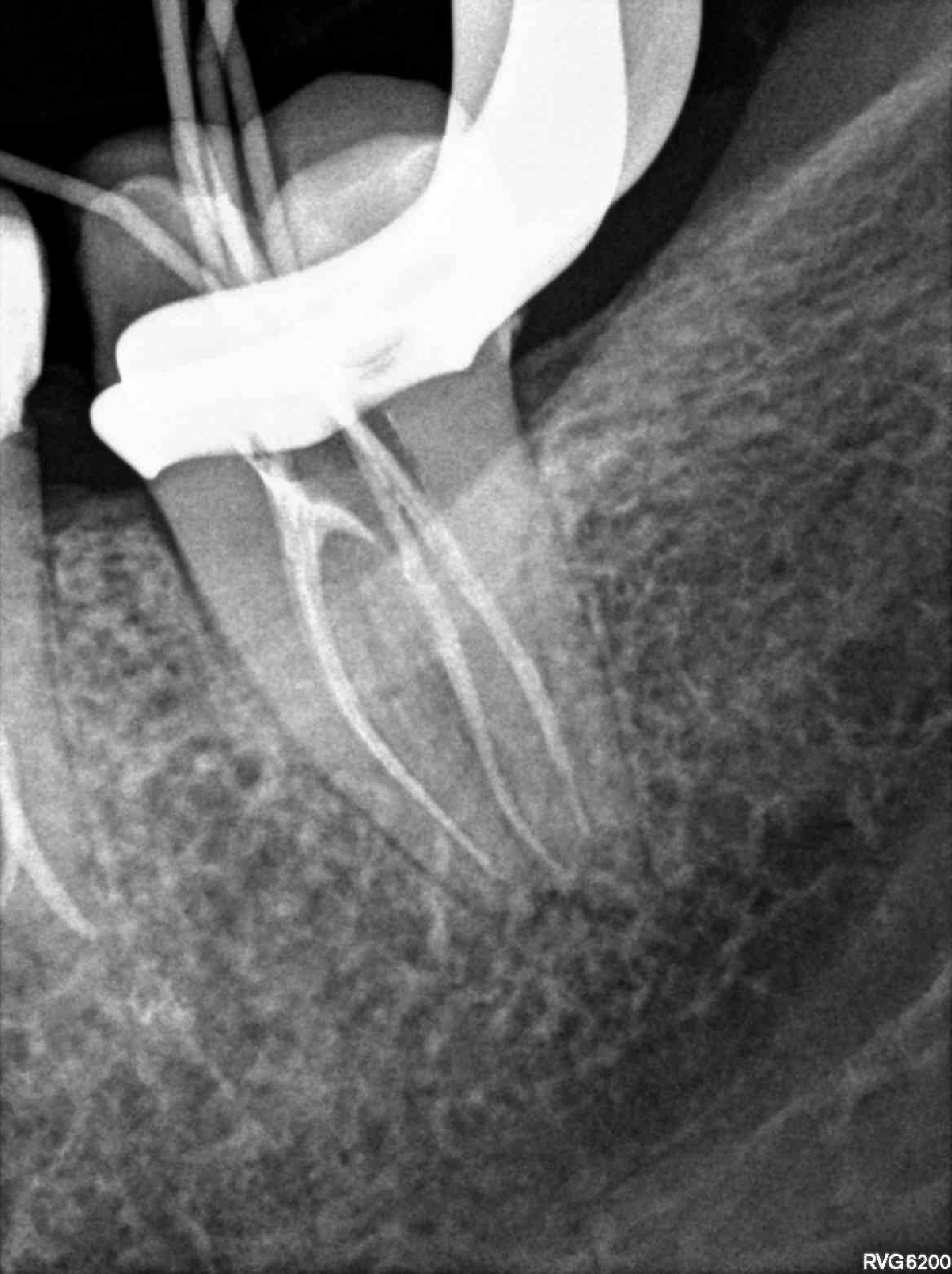
3.7 Interesting Anatomy

Año 2024
Categoría Endodoncia

Radiografías

* Haz click sobre las radiografías para verlas a mayor tamaño

Imágenes del tratamiento

* Haz click sobre las imágenes para verlas a mayor tamaño y a color