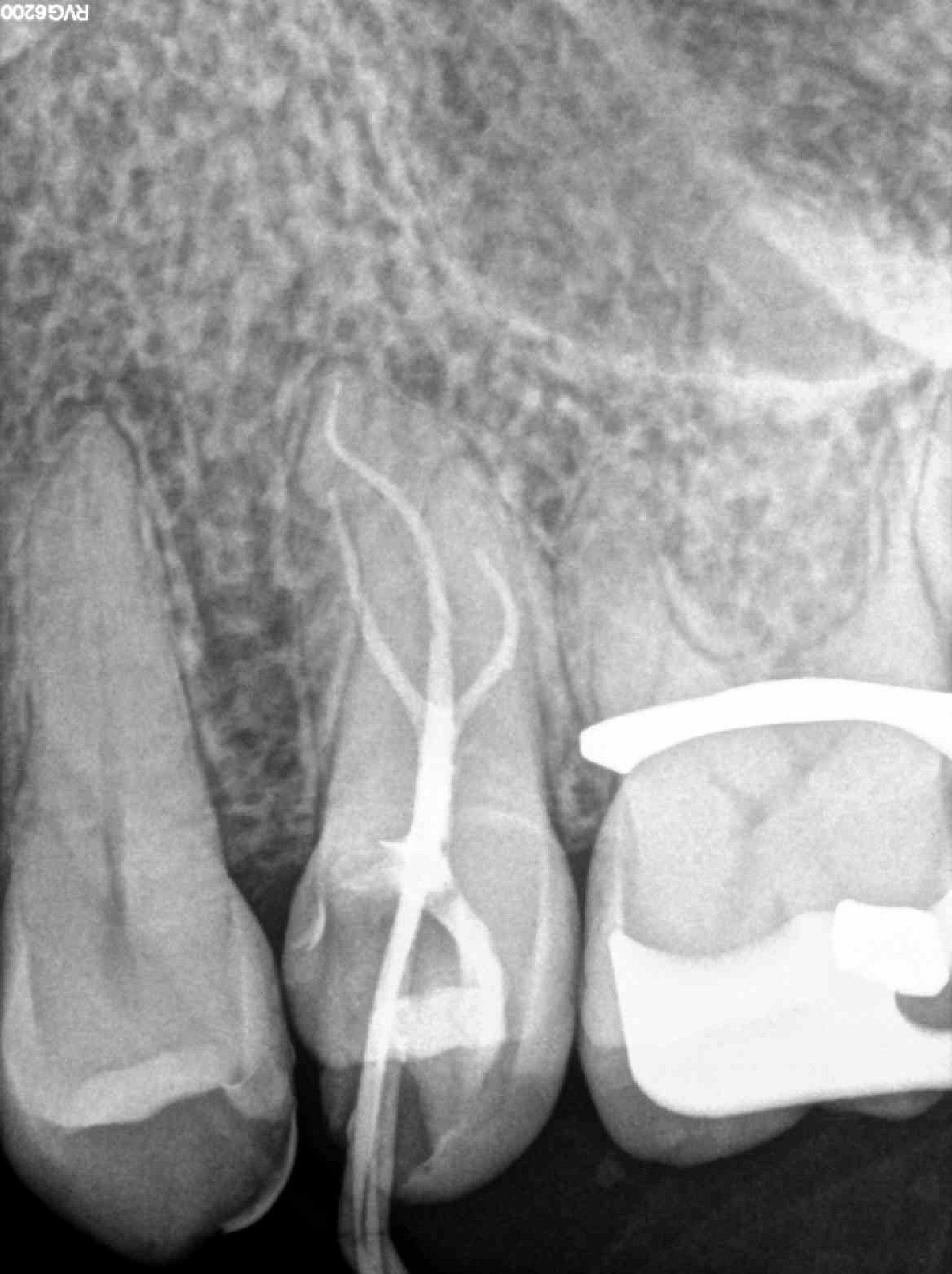
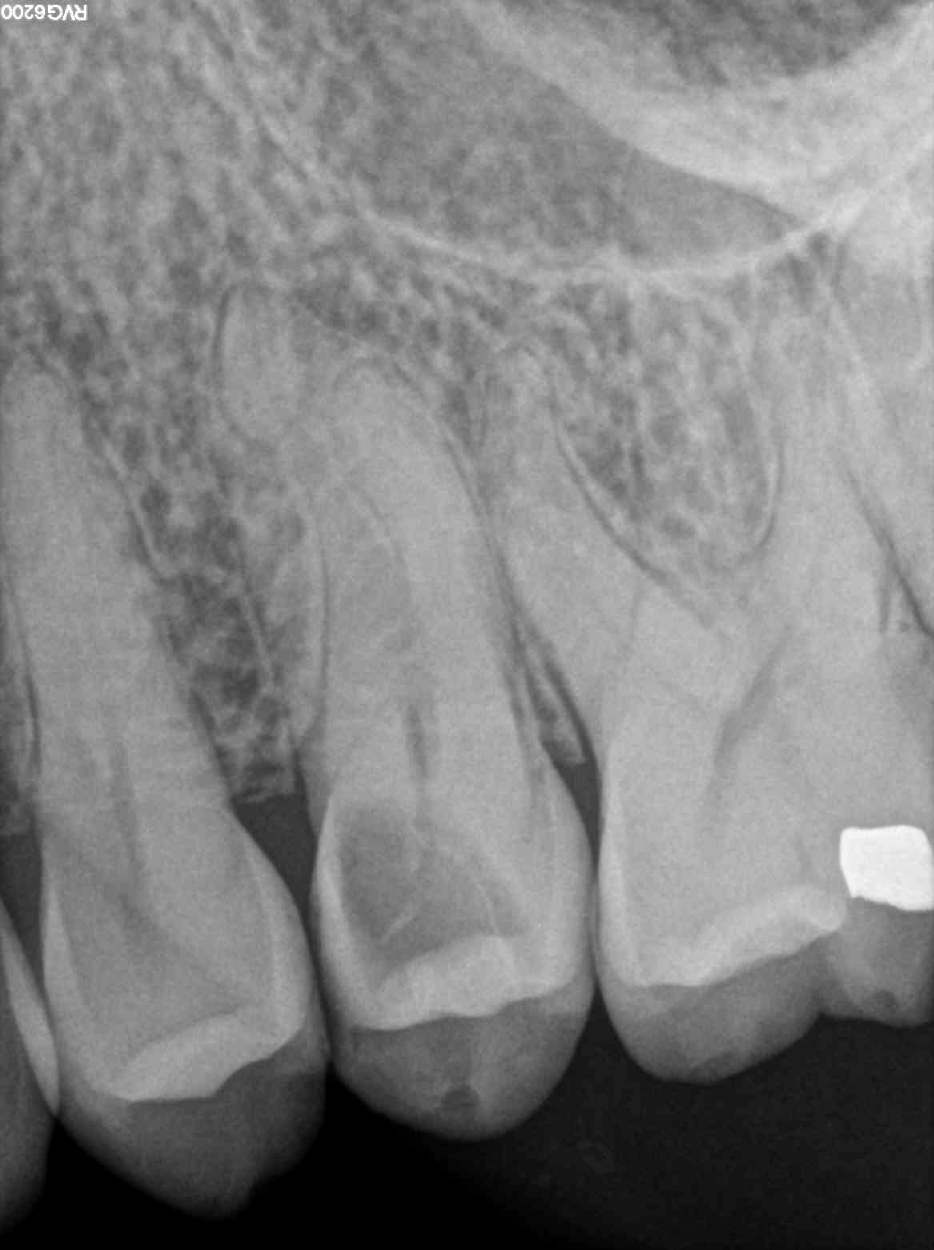
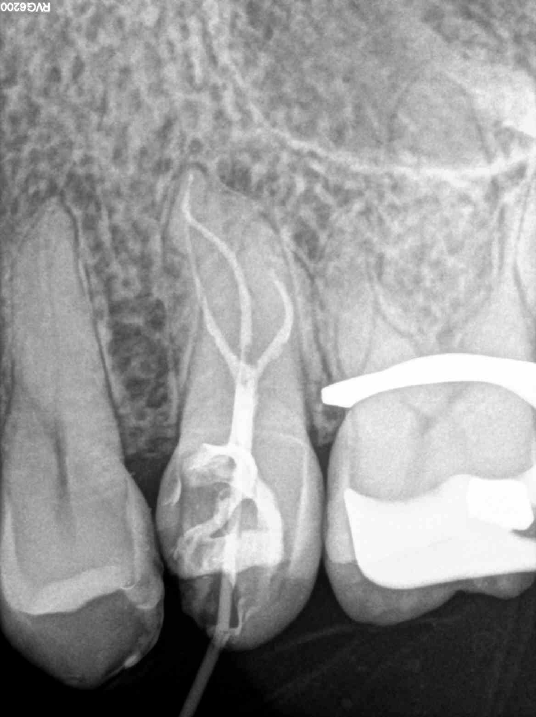
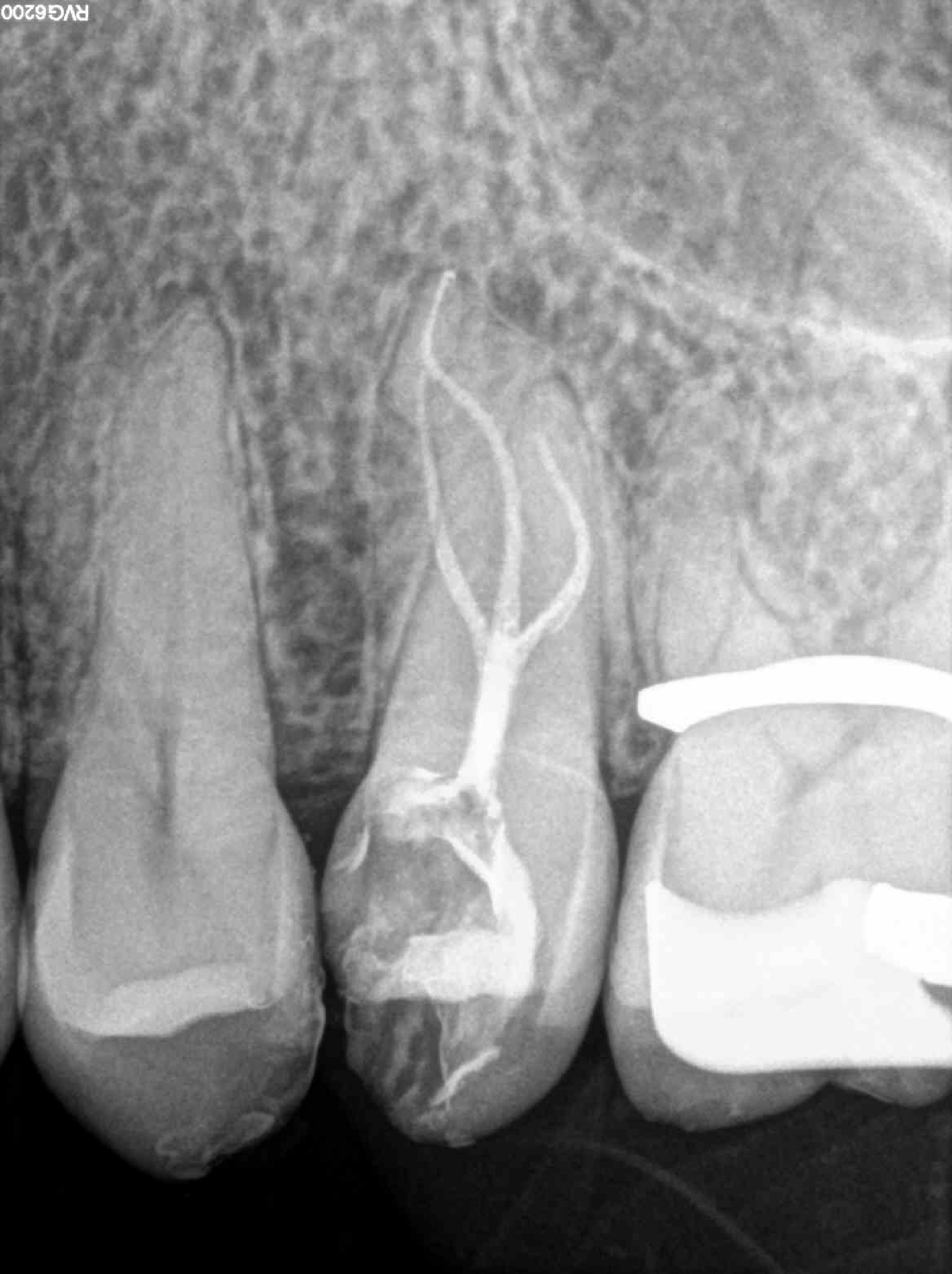
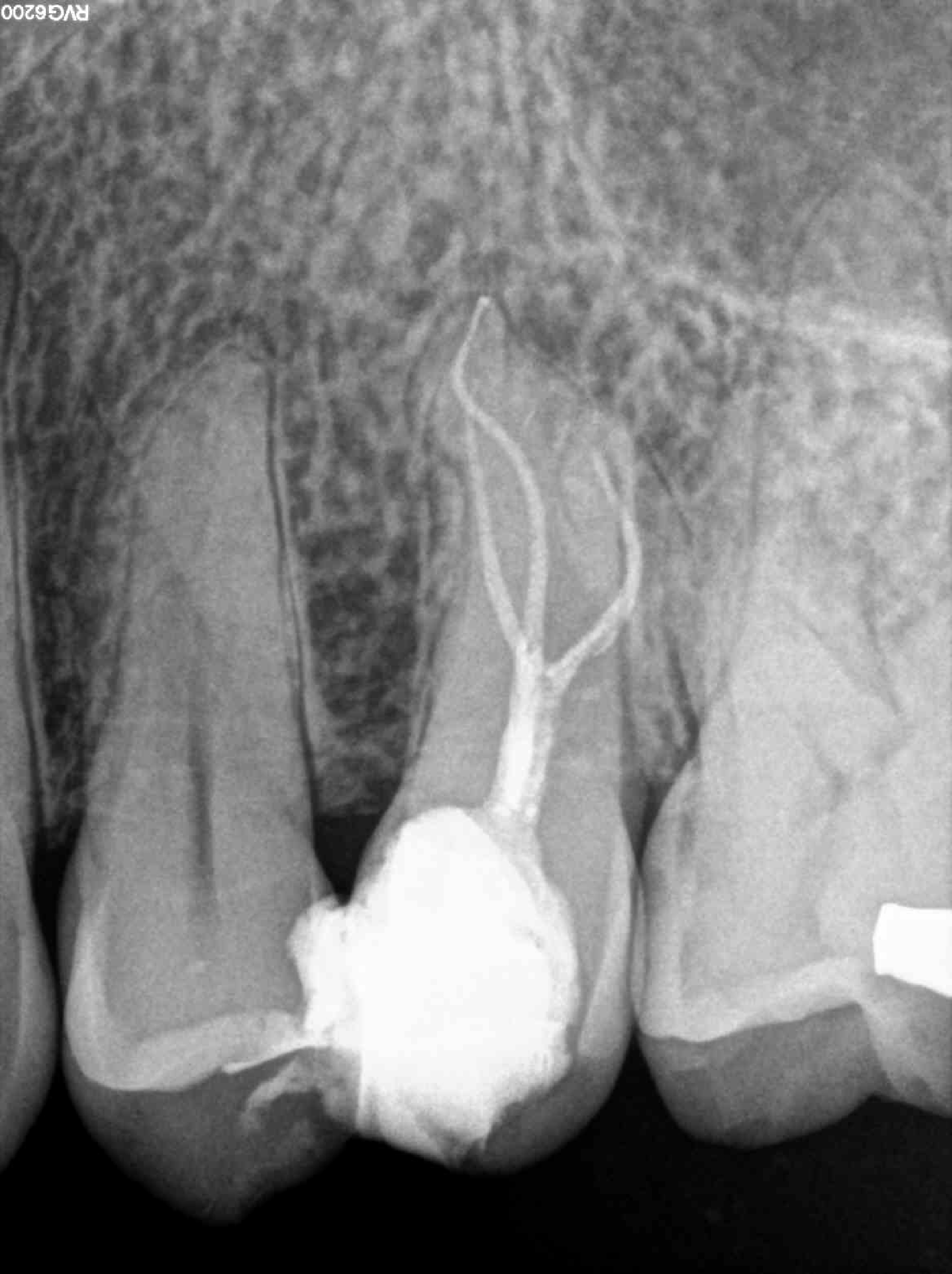
* Haz click sobre las radiografías para verlas a mayor tamaño
Haz click sobre las radiografías para verlas a mayor tamaño
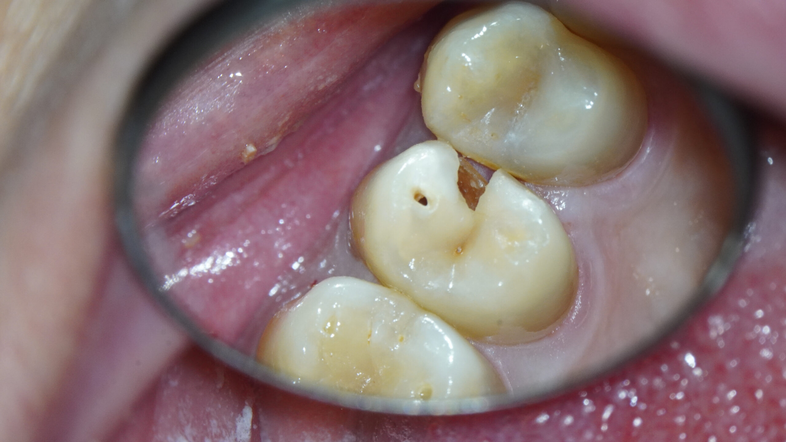
* Haz click sobre las imágenes para verlas a mayor tamaño
Haz click sobre las imágenes para verlas a mayor tamaño y a color