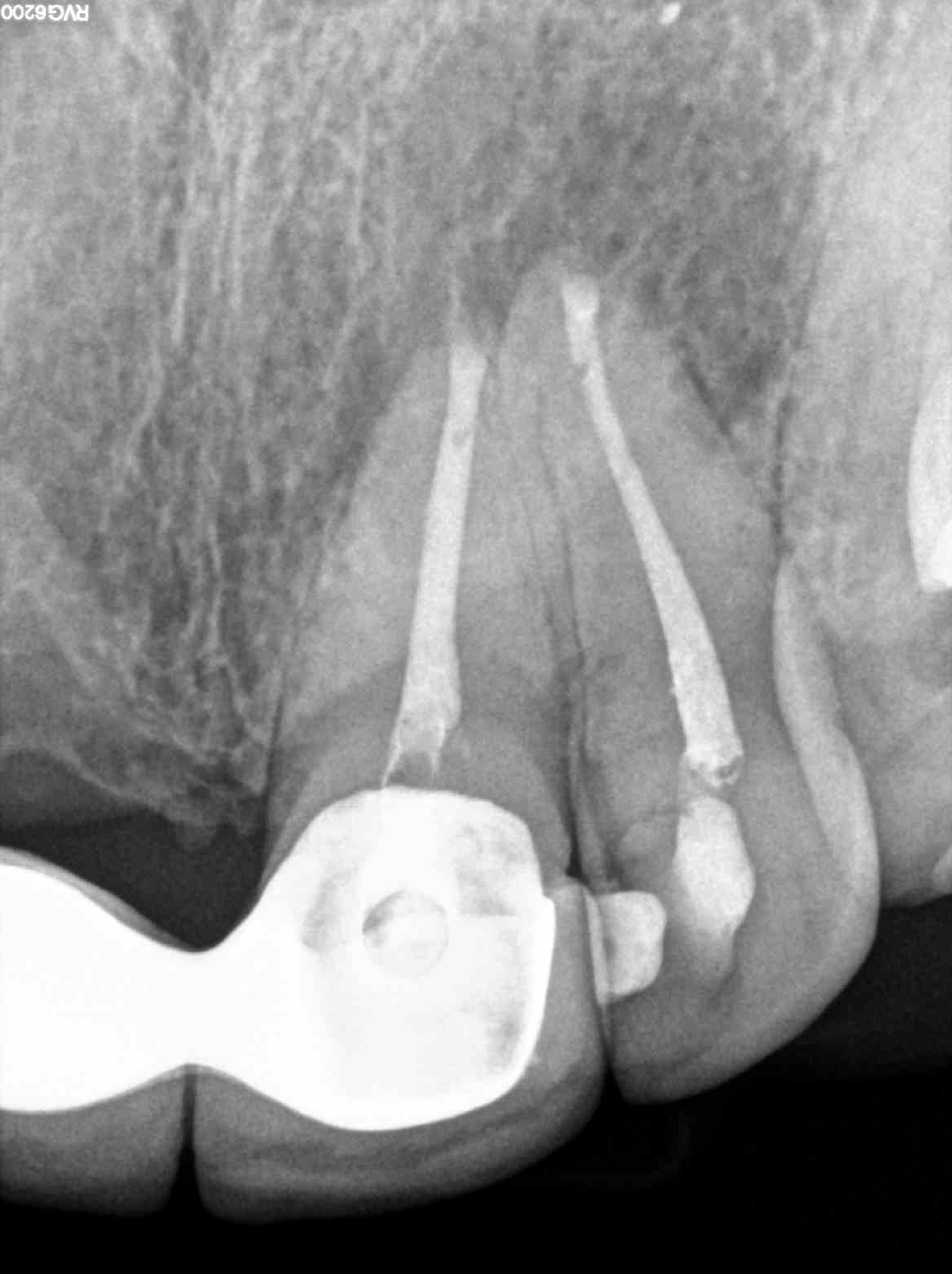
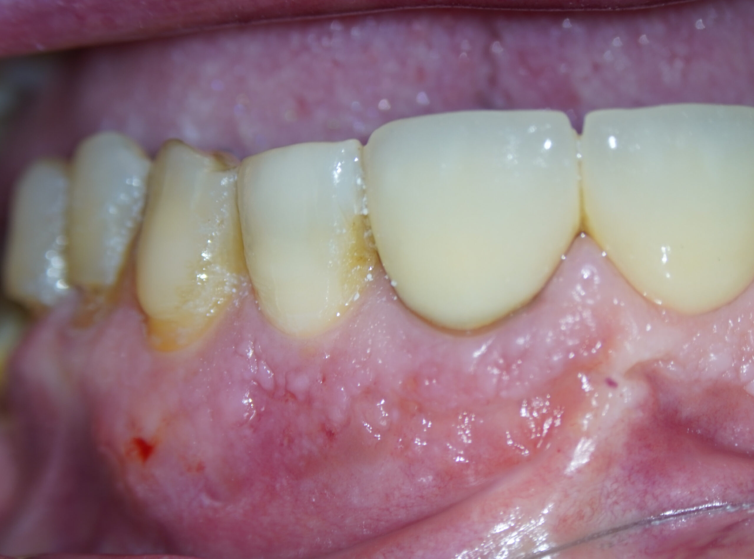
2.1 y 2.2 Apicectomia

Año 2023
Categoría Microcirugía

Radiografías

* Haz click sobre las radiografías para verlas a mayor tamaño

Imágenes del tratamiento

* Haz click sobre las imágenes para verlas a mayor tamaño y a color